I VADALA' SRL

LABORATORIO ODONTOTECNICO
CONCEPT LAB
La competenza e la conoscenza, sono indispensabili tanto nella tradizione, quanto nell’innovazione. I Vadalà investe costantemente per la crescita culturale e professionale dei propri collaboratori. Immaginate un laboratorio che nel corso degli anni, ha saputo strutturarsi per dare tutto il supporto per realizzare le soluzioni e i progetti pensati per il paziente; un’azienda in grado di fornire quanto di meglio ci sia sul mercato; la tecnologia più completa per l’attività dell’odontoiatra o dell’odontotecnico. I Vadalà estende i confini concettuali del laboratorio, luogo di artigianalità, per divenire luogo di idee. Uno spazio dove le proposte diventano attività, le esigenze trovano le giuste soluzioni. In un mondo che evolve velocemente, i protagonisti del settore devono potersi incontrare con facilità e ciascuno, cogliere le opportunità, affinché il proprio lavoro sia al passo con le proprie aspettative.

TECNOLOGIE AVANZATE
Le tecnologie sono protagoniste nel moderno laboratorio odontotecnico come nello studio odontoiatrico. Maggiori soluzioni e possibilità protesiche ma anche vantaggi nella gestione dei flussi di lavoro dello Studio con ottimizzazione dei tempi e dei costi.
Lo Scanner intraorale è senza dubbio lo strumento più glamour per lo studio odontoiatrico. Le informazioni viaggiano veloci, si risparmia il materiale di impronta, si riducono i costi di trasporto. Il fresatore DWX 52DCi, rappresenta una soluzione per aumentare la produttività 24 ore su 24; la DWX 42W grazie alla tecnologia wet realizza strutture in Titanio o CrCo Si ottimizzano i tempi di consegna per una migliore organizzazione dell’agenda di studio. La Stampa 3D offre la possibilità di ampliare l’utilizzo del digitale. La prototipazione è sicura, precisa, veloce. le potenzialità. I Vadalà si avvale della migliore tecnologia e la mette a disposizione per poterne apprezzare tutte le potenzialità.


CHIRURGIA GUIDATA
La chirurgia computer assistita offre molti vantaggi sin dalla programmazione dell’intervento. E’ possibile gestire l‘estetica del sorriso e condividere il risultato col paziente. Posizionare gli impianti in virtuale significa anche poter progettare un intervento protesi-guidato, con maggiore predicibilità, perché si dispone di maggiori informazioni; precisione matematica grazie alla dima chirurgica che guida l’operatore; vengono ridotti i disagi del decorso post chirurgico. Software di chirurgia guidata per la programmazione dell’intervento e la realizzazione della dima chirurgica.
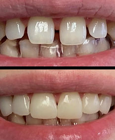
Riabilitazioni di uno o più elementi, siano denti naturali o impianti, restituiscono estetica e funzione per un sorriso senza compromessi, a qualsiasi età.

FORMAZIONE AVANZATA
Offriamo corsi di formazione EXOCAD Base e Avanzati, one to one. Percorso di digitalizzazione completa scanner Intraorale e flusso digitrale.
Sabato 30 Maggio 2026
Parleremo di Ozono in odontoiatria.
Un occasione di confronto diretto con il prof. Massimo Corigliano
.jpg)


